Gum Grafting - Midtown Manhattan

Preserve a Healthy Gum Line with Gum Grafting

Schedule Consultation

RESTORE YOUR GUMS WITH GUM GRAFTING

Tired of having to avoid hot and cold foods because of sensitive teeth? Always trying to hide your smile because of a damaged gum line? Enjoy a better quality of life with a simple gum grafting procedure. Tired of having to avoid hot and cold foods because of sensitive teeth? Always trying to hide your smile because of a damaged gum line? Enjoy a better quality of life with a simple gum grafting procedure.

SYMPTOMS OF GUM RECESSION

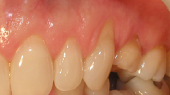
Before After

Connective Tissue Grafting Before and After

One of the most obvious symptoms of gum recession is sensitive teeth. When more of the tooth root becomes exposed, the teeth can become very sensitive to hot and cold temperatures.

Some other common symptoms of gum recession include:

  • Appearance of larger-looking teeth
  • Loose teeth
  • Shifting teeth
  • Uneven gum line

BENEFITS OF GUM GRAFTING

Our goal is to restore your natural gum line to protect your teeth. Neglecting treatment in a timely manner can cause further deterioration of the gums and increase your risk of gum disease. Your gums will heal fairly quickly after this procedure so you can look forward to a healthy new smile in a few short weeks.

Benefits of gum grafting include:

  • Reduced tooth sensitivity
  • More food and beverage options
  • Improved appearance of the smile
  • Protects the teeth from damage
  • Minimal to no downtime
  • Protects the tooth root from decay
  • Evens out the gum line
Gum Grafting Midtown Manhattan, NY

Before & After